025-87183621
服务项目 服务项目

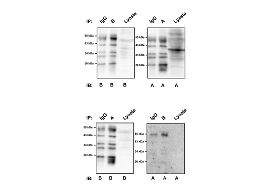
co-ip检测

应用简介Co-IP主要用于检测蛋白质与蛋白质之间相互作用,是IP实验的一种扩展,基于IP反应的潜力,在样品溶液中捕获和纯化主要目标(抗原等)及通过天然相互作用与靶标结合的其他的大分子。此外,还可以利用Co-IP来确定在不同条件下的蛋白质相互作用。技术原理免疫共沉淀是利用抗原和抗体的特异性结合以及细菌的ProteinG或A能


全国咨询电话:025-87183621

服务详情

应用简介

Co-IP主要用于检测蛋白质与蛋白质之间相互作用,是IP实验的一种扩展,基于IP反应的潜力,在样品溶液中捕获和纯化主要目标(抗原等)及通过天然相互作用与靶标结合的其他的大分子。此外,还可以利用Co-IP来确定在不同条件下的蛋白质相互作用。
技术原理

免疫共沉淀是利用抗原和抗体的特异性结合以及细菌的ProteinG或A能特异性地结合到免疫球蛋白的Fc片段的方法。其基本原理是在细胞裂解液中加入感兴趣蛋白的抗体,孵育后再加入与抗体特异结合的结合于磁珠的ProteinG或A,若细胞中存在与兴趣蛋白相结合的目的蛋白,就可以形成蛋白复合物:“目的蛋白—兴趣蛋白—抗兴趣蛋白抗体—ProteinG或A”;最后通过免疫印迹实验来检测目的蛋白。
实验方法

技术总结

1、实验样品制备方法准备:很重要!根据研究目的,检测样品可能是组织样品,也可能是细胞样品,不同样品制备流程不太相同,目的蛋白表达量也有较大差别,必须选择合适的样品和样品制备方法;

2、根据研究目的选择适合的蛋白特异性抗体:非常重要!用于Co-IP实验的抗体是针对目的蛋白的特异性抗体,最理想的是选择一种能识别兴趣蛋白质某个表位的抗体,且这个表位不会被任何其他蛋白质相互作用所掩盖,比普通WB抗体要求高出很多;同时,抗体特异性和灵敏性尽可能高,才有可能有干净的背景和较好的IP效果,所以必须选择最适合的抗体用于Co-IP实验;

3、细胞裂解采用温和的裂解条件,不能破坏细胞内存在的所有蛋白质-蛋白质相互作用,多采用非离子变性剂(NP-40或Triton-X-100)。每种细胞的裂解条件是不一样的,通过经验确定;

4、不能用高浓度的变性剂(0.2%SDS),细胞裂解液中要加各种酶抑制剂;

5、使用对照抗体:单克隆抗体:正常小鼠的IgG或另一类单抗;兔多克隆抗体:正常兔IgG;

6、确保共沉淀的蛋白是由所加入的抗体沉淀得到的,而并非外源非特异蛋白,单克隆抗体的使用有助于避免污染的发生;

7、要确保抗体的特异性,即在不表达抗原的细胞溶解物中添加抗体后不会引起共沉淀;

8、确定蛋白间的相互作用是发生在细胞中,而不是由于细胞的溶解才发生的,这需要进行蛋白质的定位来确定。



在线留言

Online message

姓名

电话

留言内容

联系我们

Contact us
南京东极生物科技有限公司
扫一扫关注
  • 地址:南京市六合区新港湾路166号协合智谷产业园16-3栋
  • 电话:139-1599-6230   025-87183621
  • 邮箱:sales@dj-cro.com
  • 网址:http://wuhan.dj-cro.com
Copyright © 2023 南京东极生物科技有限公司版权所有 All Rights Reserved.
  • 公司联系方式
    QQ
  • 公司微博
    微博
  • 网站首页
    首页
  • 公司联系电话
    电话
  • 返回
    返回顶部